|Retinal Disorders
Retina is the light sensitive film in the back of the eye on which the rays of light are brought to focus to form an image. This image is transmitted to the brain by the optic nerve. The vitreous is the clear gel that fills the back of the eye. The “Macula” is the central portion of the retina that is responsible for the most of our vision.
Diseases of retina can affect any age.
|The common retinal disorders include:
Diabetic Retinopathy
:
Diabetes causes weakening of the blood vessels in the body including those of the retina. This deterioration of retinal blood vessels, accompanied by structural changes in the retina, is termed diabetic retinopathy and in the severe stage may lead to loss of vision.
Diabetic retinopathy is gradual in onset and is related to the duration of diabetes. High blood glucose levels, high blood pressure and genetics influence the development and progression of diabetic retinopathy.
|Hypertensive Retinopathy and Retinal Vaso-occlusive Disorders:
Hypertension can lead to a number of changes in the retinal vessels including occlusion of one or more major veins (less commonly arteries) of the retina leading to what is sometimes referred to as “Stroke of the Retina”.
|Age Related Macular Degeneration (AMD):
AMD generally affects the central and most sensitive portion of the retina called the “macula”. It is seen mainly in patients above 50 years of age.
Dry macular degeneration or atrophic degeneration-
Dry macular degeneration is the more common type that is caused by aging and thinning of the macula. Visual loss is typically gradual.
Wet macular degeneration or exudative-
The wet form of macular degeneration accounts for about 10% of all macular degeneration cases. It results from abnormal blood vessels forming and leaking beneath the retina at the back of the eye and causing scarring. Visual loss from this form of macular degeneration can be rapid and severe.
The retina can detach from the back portion of the eye – a condition called ‘Retinal Detachment’.
The Vitreous gel can become opaque due to blood – a condition called ‘Vitreous hemorrhage’ which can result from a number of conditions like diabetes, hypertension and trauma.
Premature infants can be affected by a disease called – ROP (Retinopathy of pre-maturity).
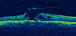
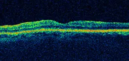
Degeneration of the neurosensory retina at the macular region can lead to gross deterioration of vision, a condition that is referred to as “Macular Hole”.
|MEDICAL RETINA SERVICES:
Medical retina services at B B Eye Foundation include Digital Fundus Fluorescein Angiography (DFA) and Optical Coherence Tomography (OCT) to diagnose the various retinal disorders.
Argon Laser Photocoagulation is routinely performed by our experienced surgeons to treat various retinal conditions including Diabetic retinopathy, Vaso occlusive Retinal Diseases and Retinal Weaknesses (Retinal Holes, Lattices).
Photodynamic Therapy is also carried out routinely to treat subfoveal CNVMs and IPCVs.
Ultrasonography is done in patients whom media opacity do not allow clear visualization of the retina for confirmation of conditions like Retinal Detachment.
|SURGICAL RETINA SERVICES:
B B Eye Foundation is one of the few centres in Eastern India to perform sutureless Vitreo Retinal Surgeries (23G VR Surgeries).
Routine V R Surgeries performed at BBEF include
Scleral Buckling (For treating conditions like Retinal Detachment)
Vitrectomy (for treating conditions like Vitreous Hemorrhage in Diabetics)
Endolaser for treating diabetics/hypertensives post Vitrectomy
Membrane Peeling for treating conditions like Macular Hole
THE MAGIC OF MACULAR HOLE SURGERY
|INTRAVITREAL anti VEGF INJECTIONS:
B B Eye Foundation is one of the Pioneer Institutes in Eastern India in the use of Intravitreal anti VEGFs in the treatment of a number of conditions like Age Related Macular Degeneration (Wet AMD, CNVM), Diabetic Macular Edema and Macular Edema arising out of Retinal Venous Occlusio
Multiple Surgeons coming down to B B Eye Foundation to inject anti VEGFs on a designated day of the week allows for low cost highly effective services for the patient.